using genuine lime dental implant materials

If the implant is firmly fixed to the bone a few months after planting a threaded material called artificial tooth root on the gums that have fallen out of the tooth, it will eventually be finished by making a crown and covering it.

Usually, it takes about 3 months based on the lower teeth, 4-5 months on top, and if bone transplantation is required depending on gum bone conditions, it may take some time. Rather than rushing, careful decisions are important.

Osan Lime Dental Implants are performed by Jeong Ho-jin, who has many years of clinical experience, through a systematic process. We are proceeding with the proven top-class Ostem implant artificial dental root, and the upper crown will also be finished with a tooth-colored zirconia prosthesis made of high-grade material, so don’t worry.

Lyme Dentistry, which is active as the nation’s No. 1 and the world’s No. 1 Ostem implant research consultant dentist, complies with infection control standards and sterilizes and packs clean instruments individually, so you don’t have to worry about cross-infection.

We are doing our best to manage hygiene, such as quarantine, so that we can always feel safe during the corona season.

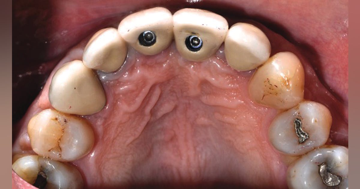
Don’t worry, the implant is done using approved materials and medicines after accurately understanding the condition of the missing teeth and the condition of the alveolar bone and gums based on the exact results of the oral examination.▲The back teeth are the most easily damaged teeth, but there are many cavities and cracks in the teeth. Periodontal inflammation often causes teeth to shake out. When the back teeth are removed, the implant is planted with more durability.▲ So, it looks good and stable, but implant transplants are thick enough, so if you don’t do bone transplantation separately, it may end within 3-4 months.In the meantime, if you follow the precautions and keep the management clean, the next process will continue without any problems, and you will be able to enjoy the food comfortably with your new strong teeth. Don’t worry.Osan Lime Dentistry uses a computerized, sophisticated and sturdy zirconia, even among teeth-colored crowns, without black metal inside the prosthesis.As a result, the gums and crowns do not look black even after a long period of time, so even if you use them for a long time, you don’t get stressed because of the aesthetic part, and you can use them often so that the prosthesis won’t break easily.Don’t worry, we also manage it carefully afterwards.Experience delicious seasonal foods from 2023 in spring, summer, fall, and winter. Enjoy delicious seasonal foods from 2023 through Osan Lime Dental Clinic, which helps you plant your teeth at reasonable cost using the proven Ostem implant genuine artificial tooth root and high-grade tooth color.Thank you.50m NAVER Corp. More / OpenStreetMap Map Data x NAVER Corp. / OpenStreetMap Map Controller Legend Real Estate Street Town, Myeon, Simultaneous, County, District, CountryLime Dental Clinic No. 305 on 3F, 79 Osan-ro, Osan-si, Gyeonggi-doLime Dental Clinic No. 305 on 3F, 79 Osan-ro, Osan-si, Gyeonggi-doLime Dental Clinic No. 305 on 3F, 79 Osan-ro, Osan-si, Gyeonggi-doロード中… player_likesound_mutesound_mutesound_volume2sound_volume3[x]プレーヤーサイズ:0x0現在の解像度:0PMaxAbr解像度:0PPプロトコル:hls現在の帯域幅:平均帯域幅:バッファの状態:フレームドロップレート:0/0「ビデオ統計バージョン4.29.4(HLS)ビルド日(2022/8/31)」ネイバー株式会社 동영상 인코딩 중입니다.5분 이상 소요될 수 있으며, 영상의 길이에 따라 소요 시간은 달라집니다. 라임치과 임플란트 정품재료사용해서 재생 수1 0 topleft rightbottom마우스를 드래그 하세요360° Video도움말 MULTI TRACK멀티트랙의 트랙별 영상은 우측 관련영상에서 볼 수 있습니다.선거광고 안내 음소거00:00 | 01:29 화질 선택 옵션자동 자동 144p 270p 480p 720p HD 1080p HD 화질 전체화면 00:00 00:18 00:35 00:53 01:10 광고정보 더보기초 후 SKIP초 후 재생SKIP광고 후 계속됩니다.SNS●●●●●●バンドTwitterFacebookブログカフェURL 주소복사HTML 소스544 x 306740 x 416936 x 5261280 x 720복사Flash 미지원으로 Object 코드 퍼가기 기능은 더 이상 지원되지않습니다.도움말 플레이어 URL 복사 레이어 닫기라임치과 임플란트 정품재료사용해서
